Langvarig oppkast hos hund kan være krevende både for hund og eier. Noen ganger finner man raskt årsaken. Andre ganger krever det grundig utredning, flere undersøkelser og tålmodighet før riktig diagnose blir stilt. Historien om Dino viser hvor sammensatt kronisk oppkast hos hund kan være.

Da oppkastet ikke ga seg
Dino kom til undersøkelse etter å ha strevd med oppkast over lengre tid. Flere behandlingsforsøk hadde ikke ført frem, og symptomene vedvarte. Når en hund kaster opp over tid uten å bli bedre, må man lete bredt etter årsaken.
Oppkast hos hund kan skyldes alt fra fôrintoleranse og magebetennelse til hormonelle sykdommer, prostataproblemer eller sykdom i indre organer.
Galleblæremukocele – en alvorlig tilstand
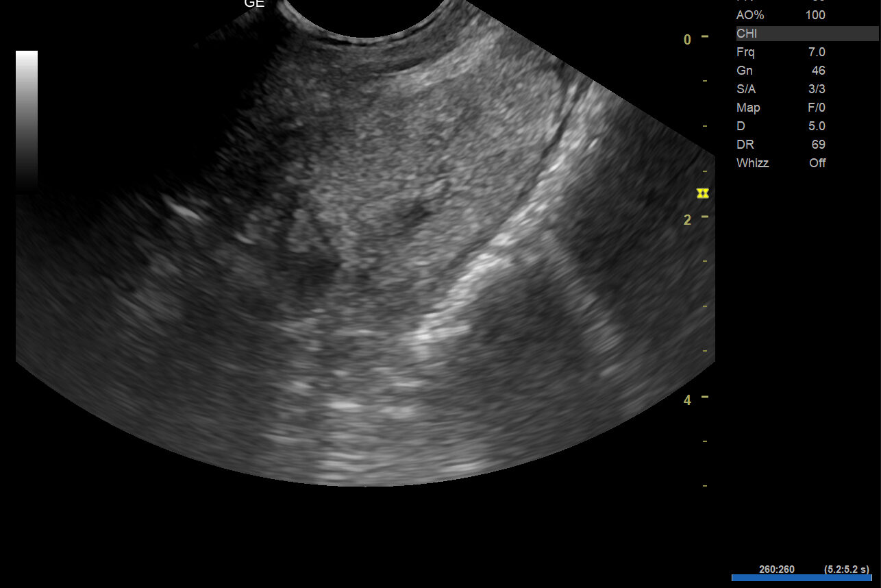
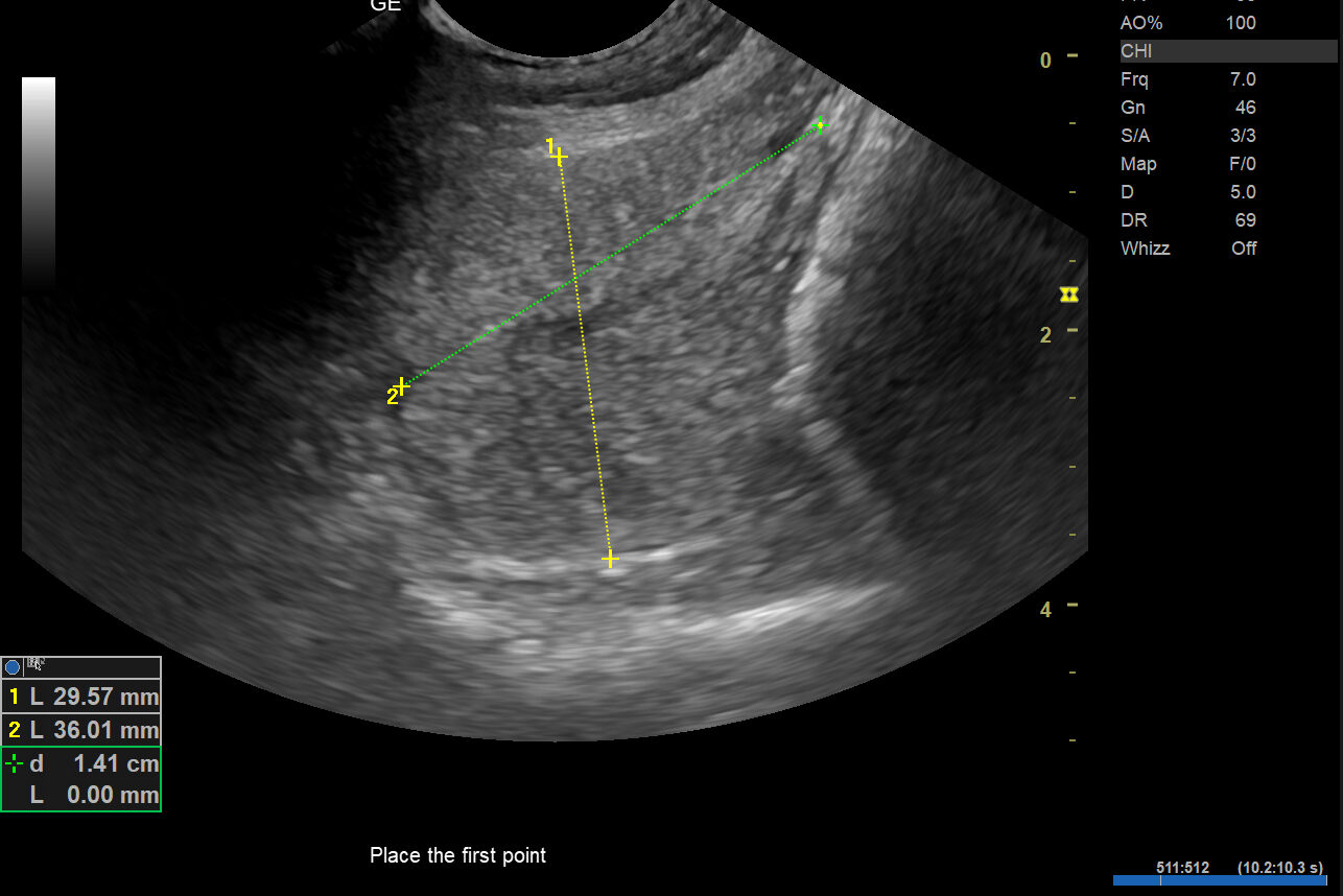
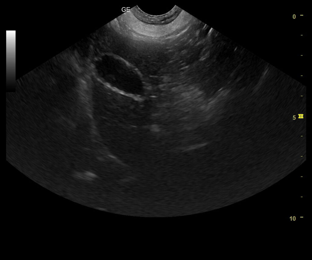
Under utredningen ble det oppdaget at Dino hadde en galleblære fylt med tykt slim, salter og grus. Tilstanden kalles galleblæremukocele. Dette er en alvorlig sykdom der innholdet i galleblæren blir unormalt tykt og hindrer normal tømming.
Ubehandlet kan galleblæren sprekke og føre til bukhinnebetennelse, som er livstruende. Diagnosen stilles ved ultralyd, hvor man ofte ser et karakteristisk mønster inne i galleblæren.
Først ble medisinsk behandling forsøkt, men da dette ikke ga effekt, måtte galleblæren fjernes kirurgisk. Samtidig ble det oppdaget urinsteiner i urinblæren. Disse ble også fjernet under samme operasjon. Etter inngrepet kom Dino seg fint, og vi håpet at årsaken til oppkastet nå var fjernet.



Oppkastet fortsatte – videre utredning
Til tross for vellykket operasjon fortsatte Dino å kaste opp. Nye blodprøver, ultralyd og avføringsprøver ble tatt. Det ble da oppdaget en forstørret prostata.
Benign prostatisk hyperplasi er en vanlig, hormonelt betinget forstørrelse av prostata hos eldre, ikke-kastrerte hannhunder. Tilstanden kan gi fordøyelsesproblemer, ubehag og i enkelte tilfeller påvirke allmenntilstanden.
Dino ble kastrert kirurgisk for å redusere prostatastørrelsen og eliminere mulig hormonell påvirkning. I tillegg fikk han støttebehandling for mage og tarm. Likevel vedvarte oppkastet.



Endoskopi ga svaret
Når oppkast hos hund ikke gir seg til tross for omfattende utredning, må man gå enda dypere. Dino gjennomgikk derfor endoskopi av mage og tarm. Med et kamera ført ned i magesekken kunne vi undersøke slimhinnen direkte og ta vevsprøver.
Undersøkelsen viste små blødninger i mageslimhinnen, mens tarmen så normal ut. Vevsprøvene bekreftet diagnosen allergisk eller immunologisk magebetennelse, en tilstand der immunforsvaret overreagerer i magesekken.
Riktig behandling ga bedring
Behandlingen besto av immundempende medisiner kombinert med spesialtilpasset diett. I tillegg fikk Dino probiotika for å stabilisere tarmfloraen og styrke barrierefunksjonen i mage og tarm.
Gradvis avtok symptomene. Oppkastet stoppet, og Dino fikk tilbake energien og livsgleden.


Hva kan vi lære av Dinos historie?
Langvarig oppkast hos hund kan ha flere samtidige årsaker. Noen ganger finner man ett problem. Andre ganger må flere tilstander behandles før man ser bedring.
Historien viser hvor viktig det er å:
- ta kronisk oppkast på alvor
- gjennomføre grundig utredning
- ikke gi opp selv om første behandling ikke virker
Med tett samarbeid mellom eier og veterinær kan selv kompliserte sykdomsforløp få en god løsning.
Er hunden din plaget med vedvarende oppkast eller mageproblemer, bør du kontakte veterinær for vurdering.


























