Chicco er en herlig valp som kom inn til oss forrige uke. Eier hadde oppdaget at noe ikke stemte i munnen hans. Ved undersøkelse fant vi at han hadde to retente hjørnetenner i overkjeven.
Dette er en tilstand vi ser jevnlig hos valper, og det er viktig å oppdage tidlig for å unngå problemer senere.
Hva er retente hjørnetenner hos hund?
Retente, eller tilbakeholdte, hjørnetenner oppstår når melketennene ikke faller ut slik de skal. Den permanente tannen vokser da frem ved siden av melketannen, og hunden får et slags dobbelt tannsett.
Dette er vanligst hos små raser som dachshund, yorkshire terrier og chihuahua, men vi ser det også hos større raser, slik som hos Chicco, som er en dobermann.


Veterinær Gisle forklarer
Veterinær Gisle forklarer hvorfor dette er viktig å ta tak i:
“Hvis melketannen ikke faller ut, får den permanente tannen for lite plass. Da vokser den ofte feil, og det kan føre til både smerter og bittfeil. I noen tilfeller kan tannen vokse inn i ganen og gi betydelige skader.”
Tidlig behandling gir som regel et mye bedre resultat.
Hva skjer hvis retente tenner ikke behandles
Hvis melketennene blir stående, kan det føre til flere problemer:
- feilstilling i bittet
- smerter og ubehag
- sår i ganen
- økt risiko for tannkjøttbetennelse
- skade på permanente tenner
- infeksjoner i tannrøtter
I noen tilfeller kan dette føre til at permanente tenner må repareres eller trekkes senere.
Når bør man undersøke valpens tenner
Tannskiftet hos valp skjer vanligvis mellom 3 og 6 måneders alder. Ved 6 måneders alder skal melketennene normalt være erstattet av permanente tenner.
Vi anbefaler alltid en sjekk av bitt og tenner rundt denne alderen. Dette gjøres ofte i forbindelse med siste vaksine i grunnvaksineringen.
Behandling av retente hjørnetenner
Hvis melketannen fortsatt sitter fast når den permanente tannen har kommet frem, anbefales det som regel å trekke den.
Dette gjøres under full narkose. Det er viktig å fjerne hele roten, som ofte er lengre enn man tror, for å unngå komplikasjoner.
Behandlingen av Chicco
Hos Chicco satt melketennene helt fast og var ikke til å rikke. Siden han var seks måneder gammel, ble det besluttet å trekke dem.
Før narkosen tok vi blodprøver. Disse var normale, med unntak av en noe forhøyet leververdi. Dette skyldtes trolig bruk av smertestillende, og vi tok hensyn til dette under narkosen.
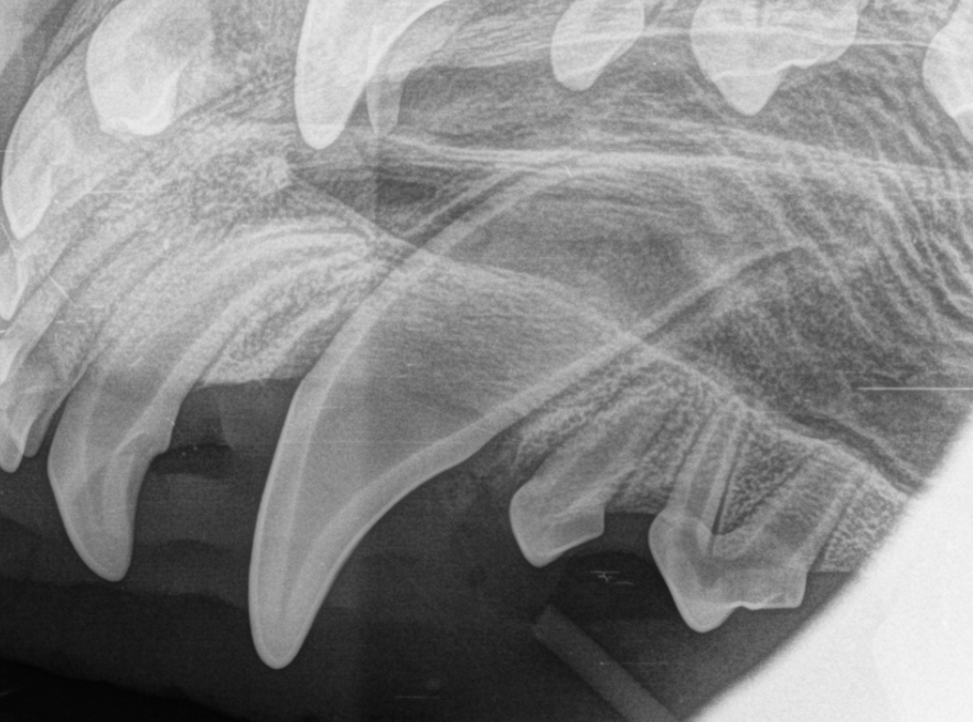
Chicco ble lagt i full narkose og fikk både lokalbedøvelse og god smertelindring. Under inngrepet åpnet vi tannkjøttet og fjernet noe av tannbeinet for å få ut hele tannen med roten.
Vi tok røntgen både før og etter inngrepet for å sikre at alt var fjernet og at de permanente tennene ikke var skadet. Til slutt ble tannkjøttet sydd.
Chicco våknet fint etter narkosen og fikk reise hjem med smertelindring.




Resultatet
Behandlingen gikk veldig bra, og Chicco har nå gode forutsetninger for en normal tannstilling uten smerter.
Det er alltid ekstra givende å kunne hjelpe unge hunder tidlig, slik at de slipper problemer senere i livet.
Erfaring og kompetanse
Denne typen behandling utføres av veterinær Gisle, som nå er i sluttfasen av sin masterutdanning i smådyrmedisin med hovedinnretning på tannhelse og anestesi. Han har også fullført etterutdannelsen Certificate in Dentistry, og jobber daglig med avansert tannbehandling hos hund og katt.
Slike inngrep krever også trygge rammer rundt narkose. Vårt narkosepersonell har høy kompetanse og kontinuerlig etterutdanning, noe som er avgjørende for sikker behandling.
